X

Як захистити себе від туберкульозу? Поради лікаря-експерта

Думаете, что туберкулез – это болезнь только нищих и неблагополучных? А семейный врач Константин Зеленский утверждает, что бактериями туберкулеза заражен каждый третий!

Туберкулез уже давно не болезнь низких слоев населения, как мы привыкли считать. Сейчас в группе риска даже люди из обеспеченных семей, офисные работники. По данным Всемирной организации здравоохранения, бактерией туберкулеза инфицированы более 2 миллиардов людей во всем мире!

У многих туберкулез латентный – это означает, что люди инфицированы бактерией, но иммунитет ее подавил. Не победил, а изолировал. И этот человек и сам не болеет, и не является разносчиком туберкулеза. Но ситуация в любой момент может резко измениться. Допустим, ослабится иммунитет, и бактерия активизируется! И тогда бактерия начинает размножаться и человек заболевает туберкулезом. Некоторые заболевают сразу из-за неспособности организма бороться с бактериями. Ежегодно болезнь убивает около двух миллионов человек, из них сотни тысяч даже не догадывались, что они заражены, пока заболевание переходило в практически неизлечимую стадию.

В Украине ситуация тоже критическая. В рейтинге Всемирной организации здравоохранения наша страна занимает 2-е место в Европе (после России) по динамике распространения туберкулеза. В Украине эпидемия туберкулеза объявлена еще с 1995-го года. Ежедневно им заболевают 90 украинцев и 27 умирают. Сколько всего больных туберкулезом в нашей стране – неизвестно, так как далеко не все становятся на учет.

Палочка Коха может принести столько хлопот, что мало не покажется. И те, кто ее «цепляют», а затем заболевают, не всегда оперативно обращаются в медучреждения, а то и вовсе не идут в больницу, продолжая распространять бактерии всюду, где находятся.

Туберкулезом стала чаще страдать… молодежь! Спать ложатся поздно, встают рано, кое-как перебиваются фаст-фудами, постоянно находятся в спешке, стрессовом состоянии, девушки регулярно сидят на диетах. Вот иммунитет ослабевает и уже не может подавлять попавшую в организм бактерию. Человек заболевает туберкулезом и запускает свое заболевание до жуткой стадии.

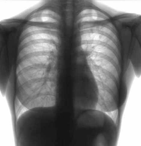
Флюорография – это первый и один из самых главных методов выявления туберкулеза даже на стадии, когда симптомы не очень явные и заболевший их не замечает.

Признаки снижения иммунитета. Во-первых, это регулярные болезни ОРЗ, РЗВИ, гриппом чаще 2-3 раз в год. Также признак подавленного иммунитета – быстрая утомляемость. То есть вы еще, казалось бы, ничего не сделали, а уже чувствуете себя уставшим в первой половине дня. Во-вторых, это сниженная концентрация. Стоит обратить внимание на кожный покров: бледность, отечность, синяки под глазами и высыпание на коже тоже могут быть показателем сниженного иммунитета. Точно так же волосы и ногти. Они в случае снижения иммунитета становятся ломкими. Исключительно по этим признакам сказать, что ваш иммунитет ослаблен нельзя. Они могут иметь и другую причину. Но все же если вы подозреваете, что ваша защита организма ослаблена, стоит обратиться к иммунологу или терапевту.

При острой респираторной вирусной инфекции и гриппе температура обычно высокая – может подниматься до 39 и даже выше. Но она быстро сбивается жаропонижающим и проходит максимум за 7-10 дней. При туберкулезе температура повышается до 37-38 градусов – обычно не больше. Иногда мы можем ее даже не замечать ее. Повышенная температура держится до нескольких недель и сопровождается обильным холодным потом по ночам. Например, в квартире не жарко, а вы просыпаетесь и рубашка вся насквозь мокрая. Второй пункт – это потеря веса. Когда мы простудились, у нас снижается аппетит, и мы можем потерять 1-2 кг за пару недель.

При туберкулезе потеря веса практически неизбежна. И не на 1-2 кг. За 2 недели человек может похудеть на 5-8 кг! И потеря веса будет продолжаться… Возможно, не так активно, но все же. А все потому, что организм пытается противостоять, тратит очень много энергии, но безрезультатно.

Человек думает, что раз нет крови во время кашля, то туберкулеза быть не может! Бывает и такое, что кашель и вовсе исчезает, а болезнь прогрессирует. При туберкулезе наблюдаются перепады настроения, снижение работоспособности и очень сильная слабость – вплоть до того, что вы просто не можете встать с кровати. Но помните, что это не уникальная симптоматика для туберкулеза легких. Не всегда при этом заболевании могут слиться все симптомы сразу. Поэтому даже при банальной простуде нужно обращаться к врачу, чтобы тот поставил верный диагноз и назначил правильное лечение. Иначе есть риск запустить туберкулез, и бактерия будет распространяться.

Как показывает практика, большинство думает, что туберкулез – это только болезнь легких. В 80% случаев это так. И все начинается с легких. Но если его вовремя не вылечить, он может поразить и другие органы. Инфекция разносится через кровоток по сосудам к разным органам, бактерия может оседать где угодно! Например, в кости. Больные жалуются на быструю утомляемость и «слабые ноги», ноющие боли в позвоночнике и суставах, возникающие при длительной нагрузке и прекращающиеся в покое. Туберкулез может поразить и кишечник. Симптомы: потеря аппетита, постоянные боли в животе, чередование поноса и запора, кровь в стуле. В опасности и мочеполовая система. Здесь особых симптомов больной не ощущает. Возможны временные боли в области почек, мочевого пузыря и яичников. Кстати, туберкулез половых органов – одна из причин женского бесплодия.

СМОТРИТЕ ТАКЖЕ: Как выбрать безопасный термометр.

Для начала нужно пройти флюорографию. Это нужно делать хотя бы раз в год, даже если нет никаких подозрений на туберкулез. В Украине эта процедура бесплатная. Приходишь к участковому терапевту и берешь направление на флюорографию. Кстати, талончик-направление на такое исследование обязаны бесплатно выдать, даже если вы обратились в поликлинике не по месту прописки!

Если на снимке доктор увидел затемнения, он направляет пациента на рентгенографию органов грудной клетки и на бактериологическое исследование мокроты. Что и как – решает уже ваш лечащий врач.

Проба Манту (ее еще называют туберкулиновой пробой) – это когда под кожу вводят белок, который свойственен этой бактерии. Этому методу уже больше 100 лет. Если человек уже контактировал с бактерией туберкулеза, через 2-3 дня место укола краснеет, появляется бугорочек. Это значит, что организм бактерию знает и блокирует. Такая реакция свойственна либо инфицированным людям, либо привитым вакциной БЦЖ. Если бугорок слишком большой, это повод бить тревогу – значит в организме очень много антител к туберкулезу, что может означать, что бактерия уже есть. А если «пуговки» и вовсе нет, это значит, что у человека нет антител – возможно, реакция ложная, возможно, не привит, или просто не вырабатывает антитела, а может, и вообще не встречался с бактерией. Интерпретировать такую реакцию и выяснять ее причины будет врач. В наше стране – это редкость. За прививками наши врачи тщательно следят. Если реакции на Манту не было, могут назначить вакцинацию. Точность диагностики Манту, по оценкам специалистов, составляет в среднем 50-70%.

Вариантов заражения масса. Ну, во-первых, мы можем вдохнуть палочку с пылью. Например, если больной на улице покашлял, слюна осела на земле, потом высохла и поднялась с клубом пыли в воздух. Заражение может произойти, когда вы погладите кошку или собачку на улице, которые также являются переносчиками бактерий. Человек может заразиться, если будет употреблять продукты, полученные от больных туберкулезом животных: молока и молочных продуктов, мяса и субпродуктов, яиц. Больной туберкулезом мог чихнуть на книгу, которую теперь читаете вы, мог пить из стакана в кафе, который вам принесли, хоть его и тщательно помыли на кухне.

Бактерия туберкулеза способна сохранятся в целости и сохранности в пыли и высохшей мокроте от 1 до 3 месяцев, в воде – до 3 месяца, а на земле в тени – несколько лет. Палочка Коха, мутируя, способна вырабатывать иммунитет к антибиотикам. С этим связано и столь долгое лечение. А также не боится ни холода, ни высоких температур, ни щелочи. Даже спиртом нельзя так обработать поверхность, чтоб наверняка убить эту микобактерию. Она очень устойчивая.

СМОТРИТЕ ТАКЖЕ: Как унять головную боль?

Нужно укреплять свой иммунитет! Если он будет крепким, то просто заблокирует палочку Коха и не даст ей размножаться в организме. То есть она все равно в организме остается, полностью ее убить невозможно, но никакого вреда не приносит. Во-первых, вы должны питаться сбалансировано. То есть каждый день в вашем рационе должен быть животный белок – строитель иммуноглобулинов – белков, участвующих в формировании иммунитета: мясо или рыба, или яйца, или молоко, или творог. Обязательно нужно кушать несколько видов овощей в день или фруктов, злаковые – хлеб или каши. Обязательно высыпайтесь! Для хорошего иммунитета обязательно спать не меньше 8 часов в день. Если вы пережили стресс, обязательно дайте организму отдохнуть, чтоб он пришел в себя – расслабьтесь, дольше поспите, погуляйте на свежем воздухе. Потому что стрессы – одна из причин ослабленного иммунитета. Поможет его также укрепить закаливание… Обязательно нужно тщательно мыть руки после каждого посещения общественного места и перед едой.

Отметка после вакцинации БЦЖ – бациллы Кальметта-Герена. Это ослабленный штамм микобактерии туберкулеза, который вырабатывает иммунитет против туберкулеза. Если ребенок здоров, БЦЖ делают на первой неделе жизни ребенка. Иммунитет, приобретенный после прививки, сохраняется в среднем 5–7 лет. Этот способ считается довольно действенным в наше время. Если реакция манту у детей отрицательная, то есть покраснения нет, то детям могут назначить повторные вакцинации БЦЖ в 7 и 14 лет. Их врачи могут назначать каждые 5-7 лет, если человек действительно находится в группе риска. В теории вы можете самостоятельно прийти в больницу и попросить сделать прививку БЦЖ. Но сейчас медики спорят относительно эффективности этой вакцины. Мол, палочка Коха мутирует, у нее есть различные штаммы, поэтому не факт, что вакцинация БЦЖ на 100% убережет человека от заболевания туберкулезом.

Бактерию туберкулеза все же можно погубить. Есть один очень действенный метод убить палочку Коха – яркий солнечный свет. На солнце бактерия гибнет за 20-30 минут, а обычный дневной свет, например, в помещении или когда пасмурно, задерживает ее рост. Так что, лучше регулярно просушивать вещи на солнце. Вывешивайте одеяла на балкон, постельное белье, верхнюю одежду. При кипячении микобактерия погибает за полчаса, а в 2% растворе соды через 15 минут. То есть, посуду, например, можно прокипятить или оставить в растворе соды. Есть специальные средства для обработки, которые способны убить палочку Коха. Спрашивайте в аптеках дезредства, которыми можно убить бактерию туберкулеза. Они, кстати, продаются в аптеках и стоят от 50 до 90 гривен за кг. В составе должен быть активированный хлор. Часто этими средствами пользоваться не желательно. Обычно их применяют, когда в помещении жил человек, больной туберкулезом. Но, допустим, если вы въезжаете в съемную квартиру, и не знаете, кто раньше жил здесь до вас, в качестве профилактики помещение можно обработать. Полкило таких дезсредств вам хватит на несколько лет. Только помните, перед тем как делать раствор, ознакомьтесь с инструкцией и обязательно защитите кожу рук, дыхательные пути и слизистые оболочки глаз. Это же химпродукты! И после обработки помещения нужно тщательно смывать раствор, а потом хорошо проветрить комнату.

Категорії: Без рубрики